Early Fetal Echocardiography
Early Fetal Echocardiography or Early Echo is a special detailed scan for the baby’s heart, which we can perform as early as from 12 weeks.
We highly recommend this scan for all babies with increased nuclal translucency (NT) measurements, fetal anomalies, or other unusual findings detected at 11-13 weeks scan.
Early reassurance on heart defects
Heart defects (cardiac anomalies or congenital heart disease) are the most common human anomalies. In fact, cardiac anomalies are more common than Down’s syndrome (trisomy 21) and can sometimes be life-threatening or even lethal for the baby.
That is why we recommend an Early Fetal Echocardiography, especially for the babies and families with an increased risk for congenital heart defects.
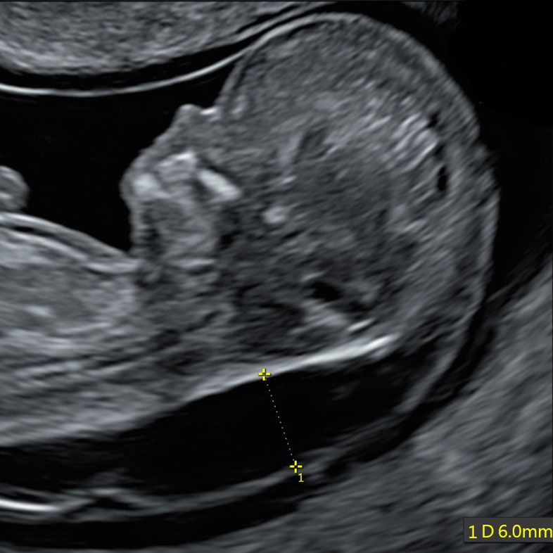
Baby with increased NT (6.0mm vs 3.5mm cutoff) and severe heart defect diagnosed by Early Fetal Echocardiography at 12 weeks
Who will benefit from Early ECHO?
There are well recognised maternal and fetal conditions strongly associated with increased risk for the baby to have cardiac anomaly. If you, your family, or your baby have any of those risk factors you may wish to perform Early Fetal Echocardiography.
Common risk factors of congenital heart defects:
-
Increased nuchal translucency (NT) for your baby (3.5 mm or more)
-
Suspected heart abnormality at 11-13 weeks scan
-
Abnormal results of NIPT or invasive test (CVS)
-
Ultrasound findings at 11-13 weeks scan like: fetal anomalies, collections of fluid in the body, single umbilical artery, and others
-
Abnormal baby’s heartbeat (irregular, too fast, or too slow)
-
Tricuspid regurgitation (TR) or abnormal flow in ductus venosus (DV) for your baby
-
If you have diabetes (especially before being pregnant)
-
If your baby was conceived by in vitro fertilization (IVF), including intracytoplasmic sperm injection (ICSI)
-
If you, or your partner, or your previous baby had heart anomaly
-
If you were taking medicines or other substances known to increase the risk for baby’s heart defects
Be sure about the heart from 12 weeks
With the Early Fetal Echocardiography at 12-13 weeks the fetal heart is about the size of corn grain, however with our advanced ultrasound technique we will check position of the heart and stomach, presence and size of all four chambers, presence and size of two great arteries and their positions. We also will check the blood flow inside the heart and on cardiac valves by advanced Colour Doppler technique.
Recent study from Oxford suggested that up to 80% of prenatally detectable heart anomalies can be diagnosed in high-risk population in the 1st trimester (Karim, et al, 2022). Normal results of our 12-18 weeks Fetal Echocardiography will provide an earliest reassurance that your baby’s heart develops normally.
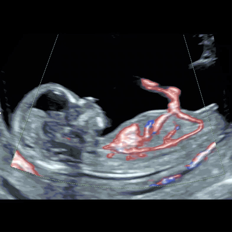
Baby’s heart, main arterial and venous vessels and umbilical cord blood flow by our special colour Doppler technology at 12 weeks
All Fetal Echocardiography scans are performed by Dr Fred Ushakov, who is internationally recognised expert and teacher in this field.
For you fetal echocardiography will resemble regular ultrasound scan. You will see your baby’s beating heart on our special screen and we will explain you what structures we check.
In majority of the cases we need to use both transabdominal and transvaginal approaches to get the best quality images of your baby heart. Understandably you can choose to avoid transvaginal scan, however in some cases the information regarding baby’s heart will be incomplete or inaccurate without this examination.
We believe that the heart together with the brain is the most important part of the humans. Early Fetal Echocardiography has special focus on fetal heart, however we perform comprehensive top-to-toe examination of all structures for your baby.
Yes, of course. We use Tricefy which is a secure cloud system to upload images and clips from your baby’s heart scan to be viewed by your doctor.
Tricefy also allows you to download the images and clips of the heart and share them with your fetal medicine or obstetric consultant or fetal cardiologist. By your special request we can also directly share securely those images and clips with your doctor. For this you will need to provide his/her secure email address.
You will also receive a hard and soft copy of your detailed ultrasound and early fetal echocardiography report as well as some high-quality colour printouts of the baby for you to take home with you.
Yes, definitely. The website of London School of Ultrasound associated with our clinic has its unique name fetalechocardiography.com. Not only are we internationally recognised experts in performing Early Fetal Echocardiography, we also have a long-standing record of training the technique professionals in UK and around the world.
In the first trimester we can diagnose about 80% of severe heart defect which can be recognised prenatally (before birth).
We cannot diagnose isolated ventricular heart defects, progressive abnormal development of the valves and some other heart anomalies.
Generally yes, however it is still does not considered an indication for Fetal Echocardiography in UK.
American Institute of Ultrasound in Medicine (AIUM) in its Practice Parameter for the Performance of Fetal Echocardiography considers ‘greater-than-normal nuchal translucency measurement between 3.0 and 3.4 mm’ as an indication for Fetal Echo.
- increased nuchal translucency (NT) for the fetus
- inconclusive or abnormal heart scan by sonographer
- family history of heart defects
- maternal diabetes
- maternal medications
Early Fetal Echocardiography included both:
- special comprehensive examination of the heart and great vessels (heart connections)
- Early Fetal Scan
No, unfortunately sometimes fetus stays in awkward position and we cannot get all the views of the heart. In those cases we will rescan you for free later in pregnancy (usually in 2 weeks time).
Yes, we can perform Early Fetal Echocardiography for every mother, who is anxious regarding normality of her baby’s heart.
Unfortunately, vast majority of heart defects are diagnosed in babies from low-risk families.
Cardiac anomalies occur very frequently. According to NHS portal congenital heart disease is one of the most common types of birth defect, affecting almost 1 in 100 babies born in the UK.
British Heart Association quotes that each day, around 13 babies in the UK are diagnosed with congenital heart disease.
Unfortunately, yes. Every baby has a chance to be born with severe heart anomaly.
If we will diagnose fetal cardiac anomaly for your baby you will need to be counselled by Fetal/Paediatric Cardiologist. Fetal Medicine Units in different London hospitals have various arrangements for this type of consultations. We will assist you with referral for Fetal Cardiologist.
There are more than 300 different congenital heart abnormalities.
According to CDC: About 1 in every 4 babies born with a heart defect has a critical congenital heart defect (critical CHD, also known as critical congenital heart disease). Babies with a critical CHD need surgery or other procedures in the first year of life.
There is new (2022) publication from Oxford researchers by Dr Karim and other. It is called ‘First-trimester ultrasound detection of fetal heart anomalies: systematic review and meta-analysis’.
Here is the link for this excellent scientific paper: Karim, et al, 2022
Hole in the heart (ventricular septal defect or VSD) is very common anomaly. Small VSDs usually not recognised before birth. Usually this type of cardiac anomalies have good outcome (majority close spontaneously)
Early Fetal Echocardiography cannot diagnose isolated VSDs.
Yes, we can exclude up to 80% of severe or critical heart anomalies, which are detectable before birth.
You can book your Early Fetal Echo at 12 weeks. Please note that we will recommend you to have also transvaginal (internal) scan.
Yes, you can have add-on NIPT (Harmony test or Invitae NIPS).
Please contact us regarding pricing of NIPT.
Yes, you can have add-on NIPT (Harmony test or Invitae NIPS).
Please contact us regarding pricing of NIPT.
Yes, inconclusive or abnormal result of 11-13 week scan commonly can be associated with heart anomaly.
According to British Heart Foundation
- Aortic stenosis
- Atrial septal defect
- Coarctation of the aorta
- Common arterial trunk
- Complete and partial atrioventricular septal defect
- Double inlet ventricle
- Hypoplastic left heart
- Large ventricular septal defect
- Patent ductus arteriosus
- Pulmonary atresia with intact ventricular septum
- Pulmonary atresia with ventricular septal defect
- Pulmonary stenosis
- Supraventricular tachycardia
- Tetralogy of Fallot
- Transposition of the great arteries
- Tricuspid atresia
Yes, it is very safe.
Early Fetal Echocardiography is the most expensive ultrasound scan. It is because of:
- Need for highest level of expertise of the doctor, who performs Echo
- Use of the most advanced and expensive ultrasound scanner and various transducers (we have 5 different types of transducers)
- It is time consuming ultrasound scan
Yes, we are doing early fetal echo for twins. Please contact us to arrange your appointment.
Yes, up to half of the babies with Down’s syndrome have heart defects. The most common cardiac anomaly for fetuses with trisomy 21 (T21) is atrioventricular septal defect (AVSD) or hole in the middle of the heart.
No, we definitely do not need full bladder. Full bladder interfere with quality of the scan.
Usually immediately after the scan. We provide both hard copy and electronic record (PDF) formats.
However, if will find something unusual, the report can be delayed for few hours when we review again the images and video clips of your baby’s heart and will write complete report.
No, we perform diagnostic services. Counselling for congenital heart defects performs Fetal/Paediatric Cardiologist.
Yes, please book your appointment for Early Fetal Echocardiography as soon as possible.
Yes. For very early fetal heart examination we use newest technology called “Slowflow HD’. In exceptional circumstances (like this) we can do fetal heat examination at 10-11 weeks. One of those situations is positive NIPT for Down’s syndrome (T21) when you may wish to know if the baby can have also heart defect.
We would strongly recommend to repeat the Early Echo at 16 weeks due to understandable limitations of very early Echo.
There is a spectrum of severity of heart defects. The most severe are unfortunately lethal. Others can be completely or partially correctable by open heart surgery.
Yes, in majority of the cases we recommend to have both transabdominal and transvaginal scans.
Fetal heart beat is normally very fast. Baby’s heart starts beating at around 6 weeks, when the embryo is just 2-5 mm in length; at that time baby’s pulse is 85-130 beats per minute (bpm). The spike of fetal heart rate occurs at 9-10 weeks, when baby’s heart contracts as fast as 150-190 bpm.
There is gradual decrease in fetal heart rate between 10 and 14 weeks. Normally at 11-13 weeks fetal heart rate ranges from 145 to 175 bpm.
It was found that babies with chromosomal anomalies or heart defects can have abnormal heart beats. For instance fetuses with trisomy 18 (Edwards syndrome) and triploidy have relatively slow pulse. Contrary to that the heartbeat of trisomy 13 (Patau’s syndrome) and Turner’s syndrome fetuses is relatively fast. Very slow fetal heart beat at 11-13 weeks (below 100 bpm) is strongly associated with serious cardiac anomalies.
Significant abnormalities of the fetal heart rate at 9-13 weeks: too fast, too slow or irregular are indications for Early Fetal Echocardiography.
Ductus venosus (DV) is an important vessel which allows oxygenated blood in the umbilical vein to bypass the liver and to provide oxygen to the fetal brain.
Yes, we check DV at the time of Early Fetal Echo.
Do you want to know more about Early Fetal Echo?
Early Fetal Echocardiography is a very special examination and it is difficult to find any reliable information about this ultrasound scan. Please contact us now to ask your question.