Wellbeing Scan
Special 3rd trimester scan aiming to exclude late pregnancy problems and also checking baby’s growth and wellbeing. If technically feasible, 3D/4D scan included.
Let’s be sure
The NHS fetal screening program in the UK does not include any additional scans after the 18-20 weeks anomaly scan for pregnant women with no risk factors. This means that for the majority of women, the 18-20 weeks scan is the last scan in their pregnancy. However, in many other countries, there are additional ultrasound scans schedules for the third trimester, which aim to evaluate fetal growth and development.
3D baby ultrasound at our clinic. Please note that in some cases after 30 weeks it would be impossible to get 3D/4D images due to fetal position or other reasons.
Late Anomaly Scans and an examination of Fetal Wellbeing
During the Wellbeing Scan we perform thorough examination of the fetus, placenta. amniotic fluid, and the womb.
This scan is very similar to our 3rd Trimester Anomaly Scan at 26-29 weeks, however beyond 30 weeks it is impossible to perform complete check-up of fetal anatomy. The baby is big and the scan is dependent on fetal position. Some babies will hide their faces, others will cover their heart with both arms. In any case we will perform maximum possible effort to check your baby’s structures. Fetal position will not affect its wellbeing examination.
The full details of the Wellbeing Scan include:
-
Examination of the heart (quality of the scan depends on fetal position) with colour Doppler flow imaging (looking at how the blood flows through the heart),
-
An examination of the brain, kidneys, and other structures visible by this stage (which are dependent on fetal position),
- A fetal growth scan,
- A fetal wellbeing examination (fetal movements, amniotic fluid, and fetal Dopplers used to detect the fetal heartbeat),
- An examination of the placenta.
More information than usual
According a recent publication by two London-based hospitals, a quarter (24.8%) of all fetal anomalies are diagnosed in the third trimester (35-37 weeks). The study found that the main organs affected by late manifesting anomalies were the brain, the heart, and the kidneys.
The fetal brain develops throughout all stages of pregnancy and continue developing even after birth. Unfortunately, some severe brain anomalies can have delayed development or manifestation, thus not be picked up by some of the anomaly scans performed earlier in the pregnancy and even at 3rd Trimester Anomaly Scan at 26-29 weeks.
At our Wellbeing Scans we are trying to exclude late developmental events affecting fetal brain like progressive development of ventriculomegaly or unfortunate event of bleeding into the brain. We will perform maximal effort to confirm normal development of the brain, however understandably ultrasound cannot exclude all cases of brain anomalies or disabilities.
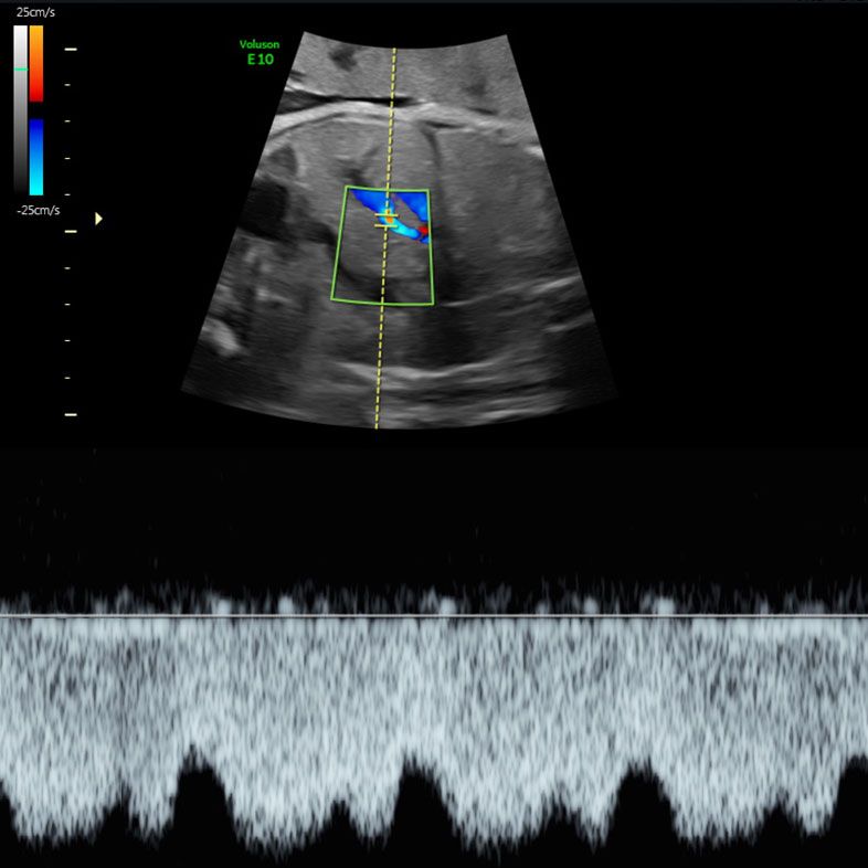
Fetal Doppler studies of Ductus Venosus blood flow at our Wellbeing Scan
Some of NHS Trusts in London have local protocols for routine 3rd trimester Growth Scans. You can check with midwife if it is the case for your hospital.
Yes, of course. We use Tricefy which is a secure cloud system to upload images and videos from your scan to be viewed before you even leave the scanning room! You will also receive a hard and soft copy of your detailed ultrasound report as well as some high-quality colour printouts for you to take home with you!
Tricefy also allows you to download the images and videos from the scan and share him with your loved ones via message/social media.
We strongly recommend following the advice of the Royal College of Obstetricians and Gynaecologists (RCOG) and the Royal College of Midwives regarding the COVID-19 vaccines in pregnancy. It is strongly recommended to take your COVID-19 jabs, including the booster jabs, to protect yourself and your unborn baby from infection. If you have an underlying health condition, it is strongly advised to discuss your COVID-19 vaccination with your regular GP or healthcare provider.